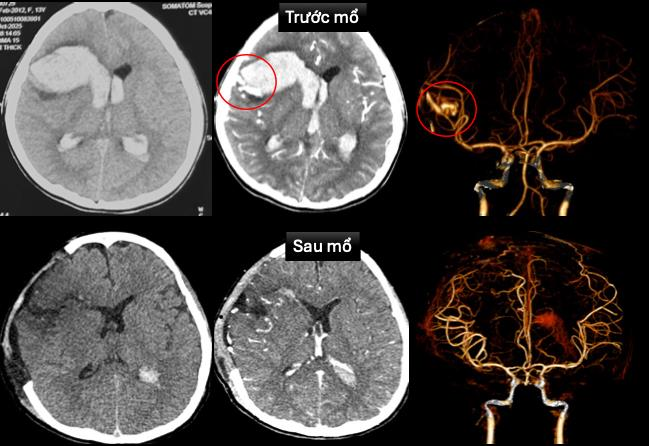
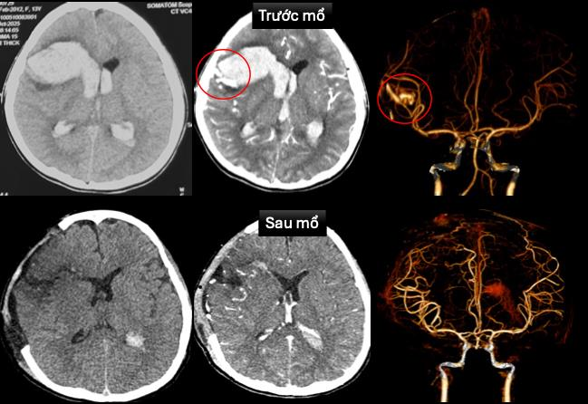
- Bệnh sử: sáng cùng ngày nhập viện, bệnh nhân đang ngủ, thở ngước, hôn mê được người nhà đưa vào bệnh viện Hóc Môn. Chẩn đoán hôn mê nghi do xuất huyết não, sốc tim được đặt nội khí quản và sử dụng thuốc vận mạch, chuyển bệnh viện Nhi Đồng 1. Tại khoa cấp cứu, bệnh nhân được ghi nhận tình trạng hôn mê sâu, thở máy qua nội khí quản, nhịp chậm, huyết áp thấp đang duy trì thuốc vận mạch. Bệnh nhân được siêu âm tim, chụp cắt lớp vi tính sọ não dựng hình mạch máu não cấp cứu. Chẩn đoán: dị dạng động tĩnh mạch trán phải vỡ gây xuất huyết nhu mô não lan vào hệ thống não thất, sốc tim, rối loạn nhịp, bệnh cơ tim xốp. Bệnh nhân được hội chẩn đa chuyên khoa, tiến hành can thiệp cấp cứu. Bs tim mạch can thiệp đặt máy tạo nhịp tạm thời. Bs ngoại thần kinh phẫu thuật cấp cứu mở sọ giải áp, vi phẫu cắt dị dạng mạch máu não, lấy máu tụ trong nhu nhô não và não thất. Sau mổ, bệnh nhân được chuyển khoa hồi sức ngoại điều trị hồi sức tích cực, thông khí cơ học, sử dụng thuốc vận mạch, chống phù não. Tình trạng bệnh nhân ổn định dần, hiện tại đã tỉnh táo, còn yếu nhẹ chân phải, tình trạng tim mạch ổn định đã rút được máy tạo nhịp và ngưng thuốc vận mạch. Hình ảnh chụp cắt lớp vi tính sọ não sau mổ không còn ghi nhận dị dạng mạch máu não. Siêu âm tim kiểm tra: ghi nhận bệnh cơ tim xốp với tình trạng chức năng co bóp cơ tim cải thiện (EF 65%).
- Dị dạng động tĩnh mạch não ở trẻ em ước tính chỉ chiếm khoảng 0,01% dân số chung [1]. Tuy nhiên là nguyên nhân hàng đầu gây đột quỵ xuất huyết não ở trẻ em, chiếm 70 % các trường hợp xuất huyết não tự phát ở trẻ em dưới 19 tuổi [2]. Đa phần các bệnh nhân có dị dạng động tĩnh mạch não không gây triệu chứng, chỉ được phát hiện khi vỡ. Tỉ lệ xuất huyết não của dị dạng động tĩnh mạch não chưa vỡ là 2-4% một năm. Tỉ lệ này sẽ gia tăng theo tuổi, tiền sử dị dạng động tĩnh mạch não xuất huyết trước đó, đặc diểm dị dạng có túi phình mạch máu não kèm theo, vị trí ở tiểu não hoặc vị trí sâu trên lều [1, 3]. Bên cạnh đó, bệnh cơ tim xốp là một bệnh lý tim mạch hiếm gặp, được đặc trung bởi sự không hoàn toàn của quá trình nén chặt trong quá trình phát triển tim, dẫn đến sự tồn tại của các bè cơ dày và các hốc sâu ở thành cơ tim, đặc biệt là ở thất trái. Bệnh có thể xuất hiện đơn độc hoặc phối hợp với các dị tật tim bẩm sinh hoặc các hội chứng di truyền. Biểu hiện rất thay đổi, từ không triệu chứng đến suy tim, loạn nhịp tim hoặc đột tử [4]. Việc phối hợp hai bệnh hiếm-dị dạng mạch máu não và bệnh cơ tim xốp- trên cùng một bệnh nhân là rất hy hữu và được báo cáo rất ít trong y văn. Ở trường hợp bệnh nhân này, hai bệnh lý này đều không biểu hiện triệu chứng. Chỉ khi dị dạng động tĩnh mạch não vỡ gây xuất huyết não, tăng áp lực nội sọ đột ngột mới gây ra tình trạng mất bù trên hệ thống tim mạch. Sự phối hợp chặt chẽ giữa cơ sở y tế tuyến trước (Bệnh viện Hóc Môn) và Bệnh viện Nhi Đồng 1, cùng với sự phối hợp của các chuyên khoa sâu: cấp cứu, chẩn đoán hình ảnh, ngoại thần kinh, tim mạch can thiệp và hồi sức ngoại đã giúp chẩn đoán và can thiệp kịp thời, giúp cứu sống được trường hợp bệnh nhi này.

Hình 1: Hình ảnh chụp cắt lớp vi tính sọ não và dựng hình mạch máu não trước và sau mổ

Hình 2: Hình ảnh bệnh nhân trước xuất viện
(Hình ảnh được xử dụng với sự cho phép của gia đình)
Tài liệu tham khảo
1. Friedlander, R.M., Arteriovenous Malformations of the Brain. New England Journal of Medicine, 2007. 356(26): p. 2704-2712.
2. Ferriero, D.M., et al., Management of Stroke in Neonates and Children: A Scientific Statement From the American Heart Association/American Stroke Association. Stroke, 2019. 50(3): p. e51-e96.
3. Kim, H., et al., Risk of Future Hemorrhage From Unruptured Brain Arteriovenous Malformations: The Multicenter Arteriovenous Malformation Research Study (MARS). JAMA Neurology, 2025.
4. Rohde, S., et al., State-of-the art review: Noncompaction cardiomyopathy in pediatric patients. Heart Fail Rev, 2022. 27(1): p. 15-28.